たまには歯医者さんらしいw 話でもしてみようかと。
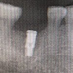
右下6番が保存不可能だったため、残念ながら抜歯となり、数ヶ月ほど経過。
インプラント治療を希望され、同時に骨造成も行いました。
両隣の歯に軽度な修復はさてれいましたが、このケース、ブリッジという選択肢もありますし、1本の取り外し式の部分入れ歯も1つの方法です。
インプラント治療が広く認知されて、インプラントが欠損補綴の花形みたいなご時世ですけど、単にインプラントが治療オプションの1つなだけであって、それぞれの方法にメリット、デメリットがありますし、それぞれ患者さんの状態や希望もありますから、別にインプラントが必ずしも正解ってワケじゃない。
ウチはインプラントが専門の医院じゃないしねw、似たような症例で、ブリッジを希望される方もいますし、部分入れ歯を選択される方もいますよ。
いやね、勝手に送りつけてくるw インプラントのDMが最近また多くって、中には くだらん謳い文句にホトホト呆れまして、あと ゴミ捨てるのも金が掛かるので止めて欲しいw







